Login Register
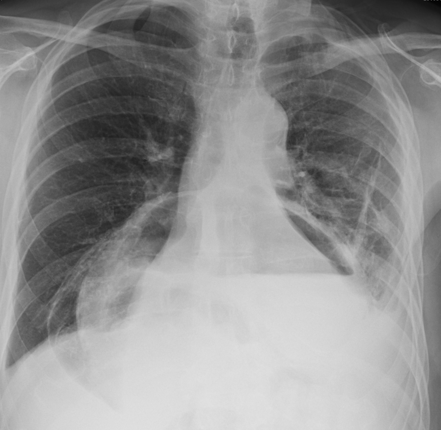
Gallery Mediastinum Hiatus Hernia Hiatus hernia containing stomach and transv colon

Hiatus hernia containing
stomach and transv colon

Date: 01/07/2012
Size:
Full size: 1487x1448
nextlast
first previous
Hiatus hernia containing
stomach and transv colon
nextlast
first previous
Powered by Gallery v2.3