Login
Register
Gallery
Mediastinum
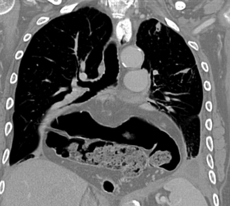
Hiatus Hernia
Hiatus hernia containing stomach and transverse colon
Hiatus hernia containing
stomach and transverse colon
Date: 01/07/2012
Size:
800x718
1051x943
Full size:
1051x943
first
previous
first
previous