Login Register
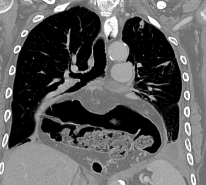
Gallery Mediastinum Hiatus Hernia Hiatus hernia containing stomach and transverse colon

Hiatus hernia containing
stomach and transverse colon

Date: 01/07/2012
Size:
Full size: 1051x943
first previous
Hiatus hernia containing 
stomach and transverse colon
first previous
Powered by Gallery v2.3