Login Register
Gallery Mediastinum Lymphoma

Lymphoma

Date: 02/18/2006
Size: 51 items
first previous
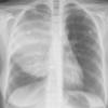
NHL

NHL

Date: 10/01/2006
Views: 2525
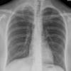
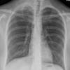
Lymphoma PA (DLBC)

Lymphoma PA (DLBC)

Date: 04/25/2009
Views: 3543
Lymphoma CT

Lymphoma CT

Date: 04/25/2009
Views: 2918
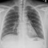
Lymphoma Lat

Lymphoma Lat

Date: 04/25/2009
Views: 3473
Lymphoma CT Sag

Lymphoma CT Sag

Date: 04/25/2009
Views: 2963
Lymphoma axial CT

Lymphoma axial CT

Date: 04/25/2009
Views: 3066
Lymphoma   Nodes and splenomegaly

Lymphoma Nodes and splenomegaly

Date: 07/27/2013
Views: 2290
Lymphoma  coronal CT

Lymphoma coronal CT

Date: 07/27/2013
Views: 1883
Lymphoma -Mediastinal and left axillary nodes (see CT)

Lymphoma -Mediastinal and left axillary nodes (see CT)

Date: 04/01/2014
Views: 2580
Lymphoma -Mediastinal and left axillary nodes

Lymphoma -Mediastinal and left axillary nodes

Date: 04/01/2014
Views: 2997
lymphoma

lymphoma

Rt supraclavicular nodes (NHL)

Date: 06/08/2016
Views: 3428
lymphoma coronal CT

lymphoma coronal CT

Rt supraclavicular nodes - coronal CT

Date: 06/08/2016
Views: 6824
lymphoma

lymphoma

Rt supraclavicular nodes (NHL)

Date: 06/08/2016
Views: 2576
lymphoma coronal CT

lymphoma coronal CT

Rt supraclavicular nodes - coronal CT

Date: 06/08/2016
Views: 5715
lymphoma (NHL) axial CT

lymphoma (NHL) axial CT

Rt supraclavicular nodes

Date: 06/08/2016
Views: 5178
 
first previous
Page: 1 2
Powered by Gallery v2.3