Login
Register
Gallery
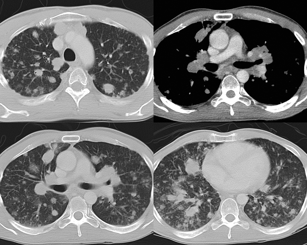
Mediastinum
Lymphoma
NHL
NHL
Date: 10/01/2006
Size:
800x640
1000x800
Full size:
1000x800
next
last
first
previous
next
last
first
previous