Login Register
Gallery Mediastinum Lymphoma Radiated nodes (Hodgkin's)

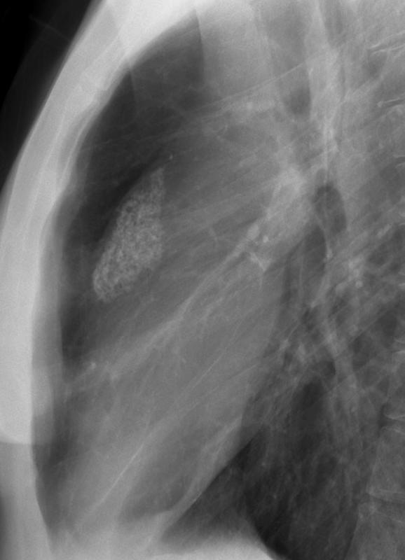
Radiated nodes (Hodgkin's)

Date: 07/27/2006
Size:
Full size: 622x861
nextlast
first previous
Radiated nodes (Hodgkin's)
nextlast
first previous
Powered by Gallery v2.3