Login Register
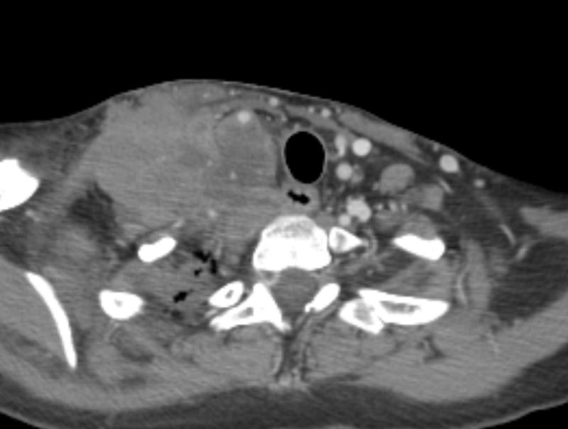
Gallery Mediastinum Lymphoma lymphoma (NHL) axial CT

lymphoma (NHL) axial CT

Rt supraclavicular nodes

Date: 06/08/2016
Size:
Full size: 933x704
first previous
lymphoma (NHL) axial CT
first previous
Powered by Gallery v2.3