Login Register
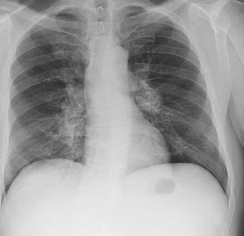
Gallery Mediastinum Lymphoma Lymphoma Nodes and splenomegaly

Lymphoma Nodes and splenomegaly

Date: 07/27/2013
Size:
Full size: 992x956
nextlast
first previous
Lymphoma   Nodes and splenomegaly
nextlast
first previous
Powered by Gallery v2.3