Login Register
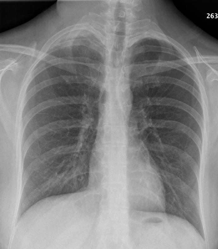
Gallery Mediastinum Lymphoma lymphoma

lymphoma

Rt supraclavicular nodes (NHL)

Date: 06/08/2016
Size:
Full size: 1235x1413
nextlast
first previous
lymphoma
nextlast
first previous
Powered by Gallery v2.3