Login
Register
Gallery
Mediastinum
Lymphoma
lymphoma
lymphoma
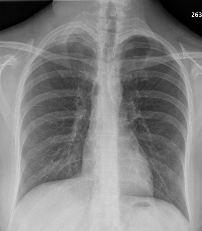
Rt supraclavicular nodes (NHL)
Date: 06/08/2016
Size:
699x800
1235x1413
Full size:
1235x1413
next
last
first
previous
next
last
first
previous