Login Register
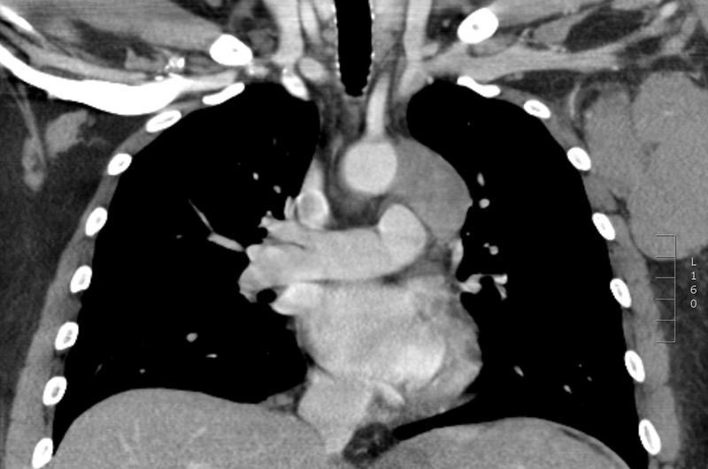
Gallery Mediastinum Lymphoma Lymphoma -Mediastinal and left axillary nodes

Lymphoma -Mediastinal and left axillary nodes

Date: 04/01/2014
Size:
Full size: 964x640
nextlast
first previous
Lymphoma -Mediastinal and left axillary nodes
nextlast
first previous
Powered by Gallery v2.3