Login Register
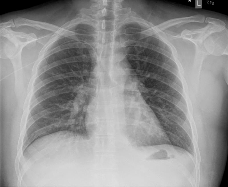
Gallery Mediastinum Lymphoma Lymphoma -Mediastinal and left axillary nodes (see CT)

Lymphoma -Mediastinal and left axillary nodes (see CT)

Date: 04/01/2014
Size:
Full size: 936x769
nextlast
first previous
Lymphoma -Mediastinal and left axillary nodes (see CT)
nextlast
first previous
Powered by Gallery v2.3