Login
Register
Gallery
Mediastinum
Miscellaneous
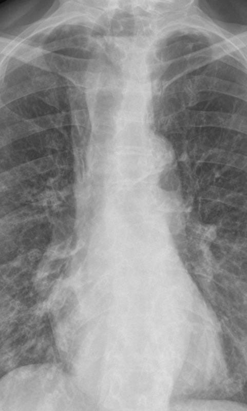
Esoph obstr'n - air-fluid level
Esoph obstr'n - air-fluid level
Date: 03/02/2014
Size:
481x800
520x864
Full size:
520x864
next
last
first
previous
next
last
first
previous