Login Register
Gallery Mediastinum Miscellaneous Esoph obstr'n - air-fluid level

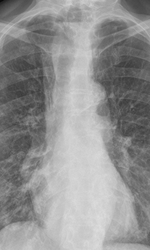
Esoph obstr'n - air-fluid level

Date: 03/02/2014
Size:
Full size: 520x864
nextlast
first previous
Esoph obstr'n - air-fluid level
nextlast
first previous
Powered by Gallery v2.3