Login Register
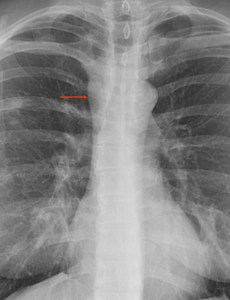
Gallery Mediastinum Miscellaneous Foregut cyst (and RML pneumonia)

Foregut cyst
(and RML pneumonia)

Date: 01/07/2012
Size:
Full size: 801x1042
nextlast
first previous
Foregut cyst
(and RML pneumonia)
nextlast
first previous
Powered by Gallery v2.3