Login Register
Gallery Mediastinum Miscellaneous Foregut cyst CT

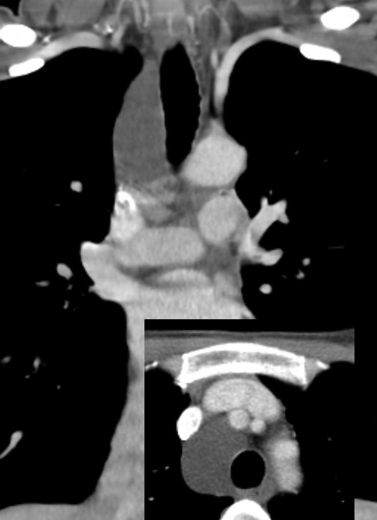
Foregut cyst CT

Date: 01/07/2012
Size:
Full size: 770x1062
nextlast
first previous
Foregut cyst CT
nextlast
first previous
Powered by Gallery v2.3