Login
Register
Gallery
Mediastinum
Miscellaneous
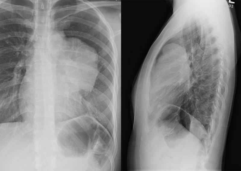
ant med mass PA and Lat
ant med mass PA and Lat
anterior mediastinal mass
Date: 01/06/2018
Size:
800x567
1083x768
Full size:
1083x768
first
previous
first
previous