Login Register
Gallery Mediastinum Miscellaneous Dilated esophagus- Pa and lat from different dates

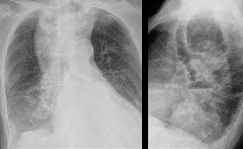
Dilated esophagus- Pa and lat from different dates

Date: 03/02/2014
Size:
Full size: 1216x748
nextlast
first previous
Dilated esophagus- Pa and lat from different dates
nextlast
first previous
Powered by Gallery v2.3