Login
Register
Gallery
Mediastinum
Miscellaneous
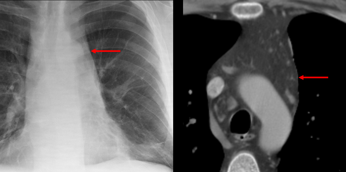
mediastinal fat
mediastinal fat
Date: 01/12/2015
Size:
800x397
1119x556
Full size:
1119x556
next
last
first
previous
next
last
first
previous