Login Register
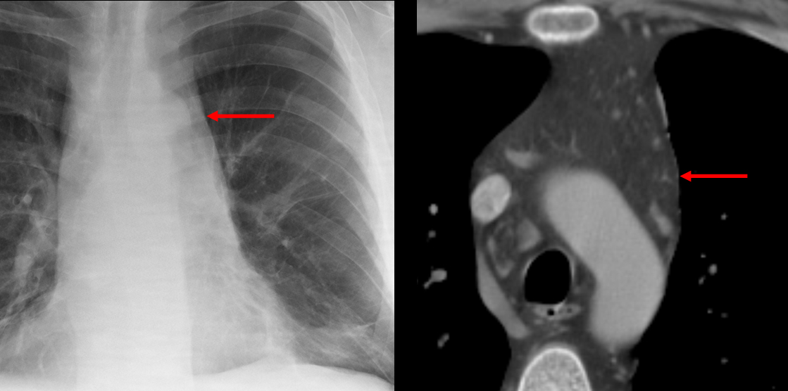
Gallery Mediastinum Miscellaneous mediastinal fat

mediastinal fat

Date: 02/25/2013
Size:
Full size: 1119x556
nextlast
first previous
mediastinal fat
nextlast
first previous
Powered by Gallery v2.3