Login
Register
Gallery
Mediastinum
Thymus
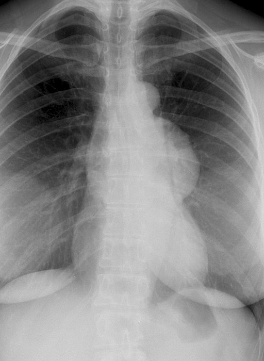
Case 6a Thymoma
Case 6a
Thymoma
Date: 03/17/2004
Full size: 544x744
next
last
first
previous
next
last
first
previous