Login Register
Gallery Mediastinum Thymus Case 6a Thymoma

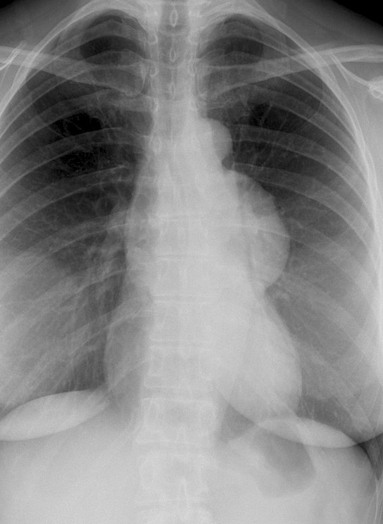
Case 6a
Thymoma

Date: 03/17/2004
Full size: 544x744
nextlast
first previous
Case 6a
Thymoma
nextlast
first previous
Powered by Gallery v2.3