Login Register
Gallery Mediastinum Thymus

Thymus

Date: 03/17/2004
Size: 27 items
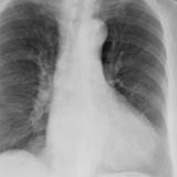
Case 1a
Thymoma

Case 1a
Thymoma

Date: 03/17/2004
Views: 4923
Case 1b
Thymoma

Case 1b
Thymoma

Date: 03/17/2004
Views: 4925
Case 1c
Thymoma

Case 1c
Thymoma

Date: 03/17/2004
Views: 4711
Case 2
Thymoma

Case 2
Thymoma

Date: 03/17/2004
Views: 5640
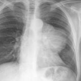
Case 3a
Malig Thymoma

Case 3a
Malig Thymoma

Date: 03/17/2004
Views: 13827
Case 3b
Malig Thymoma

Case 3b
Malig Thymoma

Date: 03/17/2004
Views: 18470
Case 4
Thymoma

Case 4
Thymoma

Date: 03/17/2004
Views: 16600
Case 5
Thymic hyperplasia

Case 5
Thymic hyperplasia

Date: 03/17/2004
Views: 5402
Case 6a
Thymoma

Case 6a
Thymoma

Date: 03/17/2004
Views: 3594
Case 6b
Thymoma

Case 6b
Thymoma

Date: 03/17/2004
Views: 3858
006c

006c

Date: 03/17/2004
Views: 3283
Case 7a
Malig Thymoma

Case 7a
Malig Thymoma

Date: 03/17/2004
Views: 10269
Case 7b
Malig Thymoma

Case 7b
Malig Thymoma

Date: 03/17/2004
Views: 17920
Case 7c
Malig Thymoma

Case 7c
Malig Thymoma

Date: 03/17/2004
Views: 4217
Normal Thymus

Normal Thymus

Date: 03/17/2004
Views: 4397
009

009

Date: 03/17/2004
Views: 6694
010MG

010MG

Date: 03/17/2004
Views: 6589
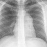
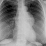
Case 8a Thymoma PA

Case 8a Thymoma PA

Date: 03/27/2009
Views: 9454
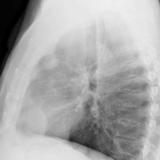
Case 8b Thymoma Lat

Case 8b Thymoma Lat

Date: 03/27/2009
Views: 14096
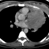
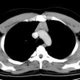
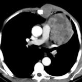
Case 8c Thymoma CT

Case 8c Thymoma CT

Date: 03/27/2009
Views: 15400
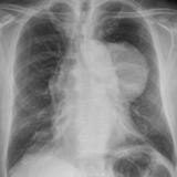
Case 9 Thymoma PA

Case 9 Thymoma PA

Date: 04/04/2010
Views: 3178
Case 9 Thymoma Lat

Case 9 Thymoma Lat

Date: 04/04/2010
Views: 3182
Case 9 Thymoma CT

Case 9 Thymoma CT

Date: 04/04/2010
Views: 3491
Thymic carcinoma PA

Thymic carcinoma PA

Date: 08/15/2012
Views: 6255
Thymic carcinoma Lat

Thymic carcinoma Lat

Date: 08/15/2012
Views: 10111
Thymic carcinoma CT

Thymic carcinoma CT

Date: 08/15/2012
Views: 5874
Thymoma

Thymoma

Date: 11/06/2013
Views: 3723
 
Page: 1
Powered by Gallery v2.3