Login Register
Gallery Mediastinum Thymus

Thymus

Date: 03/17/2004
Size: 27 items
Case 1a
Thymoma

Case 1a
Thymoma

Date: 03/17/2004
Views: 4914
Case 1b
Thymoma

Case 1b
Thymoma

Date: 03/17/2004
Views: 4919
Case 1c
Thymoma

Case 1c
Thymoma

Date: 03/17/2004
Views: 4705
Case 2
Thymoma

Case 2
Thymoma

Date: 03/17/2004
Views: 5632
Case 3a
Malig Thymoma

Case 3a
Malig Thymoma

Date: 03/17/2004
Views: 13820
Case 3b
Malig Thymoma

Case 3b
Malig Thymoma

Date: 03/17/2004
Views: 18465
Case 4
Thymoma

Case 4
Thymoma

Date: 03/17/2004
Views: 16594
Case 5
Thymic hyperplasia

Case 5
Thymic hyperplasia

Date: 03/17/2004
Views: 5396
Case 6a
Thymoma

Case 6a
Thymoma

Date: 03/17/2004
Views: 3587
Case 6b
Thymoma

Case 6b
Thymoma

Date: 03/17/2004
Views: 3851
006c

006c

Date: 03/17/2004
Views: 3275
Case 7a
Malig Thymoma

Case 7a
Malig Thymoma

Date: 03/17/2004
Views: 10262
Case 7b
Malig Thymoma

Case 7b
Malig Thymoma

Date: 03/17/2004
Views: 17910
Case 7c
Malig Thymoma

Case 7c
Malig Thymoma

Date: 03/17/2004
Views: 4212
Normal Thymus

Normal Thymus

Date: 03/17/2004
Views: 4388
009

009

Date: 03/17/2004
Views: 6685
010MG

010MG

Date: 03/17/2004
Views: 6580
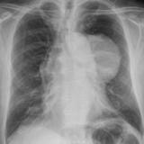
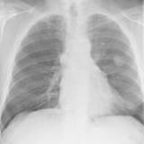
Case 8a Thymoma PA

Case 8a Thymoma PA

Date: 03/27/2009
Views: 9449
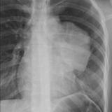
Case 8b Thymoma Lat

Case 8b Thymoma Lat

Date: 03/27/2009
Views: 14090
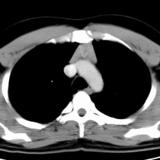
Case 8c Thymoma CT

Case 8c Thymoma CT

Date: 03/27/2009
Views: 15395
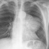
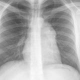
Case 9 Thymoma PA

Case 9 Thymoma PA

Date: 04/04/2010
Views: 3167
Case 9 Thymoma Lat

Case 9 Thymoma Lat

Date: 04/04/2010
Views: 3172
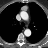
Case 9 Thymoma CT

Case 9 Thymoma CT

Date: 04/04/2010
Views: 3477
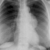
Thymic carcinoma PA

Thymic carcinoma PA

Date: 08/15/2012
Views: 6248
Thymic carcinoma Lat

Thymic carcinoma Lat

Date: 08/15/2012
Views: 10105
Thymic carcinoma CT

Thymic carcinoma CT

Date: 08/15/2012
Views: 5867
Thymoma

Thymoma

Date: 11/06/2013
Views: 3716
 
Page: 1
Powered by Gallery v2.3