Login Register
Gallery Mediastinum Thymus

Thymus

Date: 03/17/2004
Size: 27 items
Case 1a
Thymoma

Case 1a
Thymoma

Date: 03/17/2004
Views: 4925
Case 1b
Thymoma

Case 1b
Thymoma

Date: 03/17/2004
Views: 4931
Case 1c
Thymoma

Case 1c
Thymoma

Date: 03/17/2004
Views: 4715
Case 2
Thymoma

Case 2
Thymoma

Date: 03/17/2004
Views: 5645
Case 3a
Malig Thymoma

Case 3a
Malig Thymoma

Date: 03/17/2004
Views: 13831
Case 3b
Malig Thymoma

Case 3b
Malig Thymoma

Date: 03/17/2004
Views: 18474
Case 4
Thymoma

Case 4
Thymoma

Date: 03/17/2004
Views: 16603
Case 5
Thymic hyperplasia

Case 5
Thymic hyperplasia

Date: 03/17/2004
Views: 5406
Case 6a
Thymoma

Case 6a
Thymoma

Date: 03/17/2004
Views: 3598
Case 6b
Thymoma

Case 6b
Thymoma

Date: 03/17/2004
Views: 3860
006c

006c

Date: 03/17/2004
Views: 3285
Case 7a
Malig Thymoma

Case 7a
Malig Thymoma

Date: 03/17/2004
Views: 10273
Case 7b
Malig Thymoma

Case 7b
Malig Thymoma

Date: 03/17/2004
Views: 17925
Case 7c
Malig Thymoma

Case 7c
Malig Thymoma

Date: 03/17/2004
Views: 4220
Normal Thymus

Normal Thymus

Date: 03/17/2004
Views: 4403
009

009

Date: 03/17/2004
Views: 6696
010MG

010MG

Date: 03/17/2004
Views: 6594
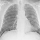
Case 8a Thymoma PA

Case 8a Thymoma PA

Date: 03/27/2009
Views: 9458
Case 8b Thymoma Lat

Case 8b Thymoma Lat

Date: 03/27/2009
Views: 14098
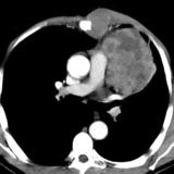
Case 8c Thymoma CT

Case 8c Thymoma CT

Date: 03/27/2009
Views: 15402
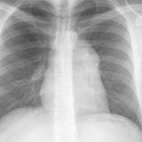
Case 9 Thymoma PA

Case 9 Thymoma PA

Date: 04/04/2010
Views: 3182
Case 9 Thymoma Lat

Case 9 Thymoma Lat

Date: 04/04/2010
Views: 3185
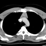
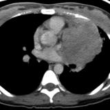
Case 9 Thymoma CT

Case 9 Thymoma CT

Date: 04/04/2010
Views: 3498
Thymic carcinoma PA

Thymic carcinoma PA

Date: 08/15/2012
Views: 6260
Thymic carcinoma Lat

Thymic carcinoma Lat

Date: 08/15/2012
Views: 10113
Thymic carcinoma CT

Thymic carcinoma CT

Date: 08/15/2012
Views: 5879
Thymoma

Thymoma

Date: 11/06/2013
Views: 3727
 
Page: 1
Powered by Gallery v2.3