Login Register
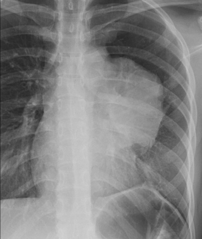
Gallery Mediastinum Thymus Thymic carcinoma PA

Thymic carcinoma PA

Date: 08/15/2012
Size:
Full size: 730x862
nextlast
first previous
Thymic carcinoma PA
nextlast
first previous
Powered by Gallery v2.3