Login Register
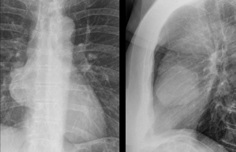
Gallery Mediastinum Thymus Thymoma

Thymoma

Date: 11/06/2013
Size:
Full size: 1259x814
first previous
Thymoma
first previous
Powered by Gallery v2.3