Login Register
Gallery Mediastinum Thymus Case 9 Thymoma CT

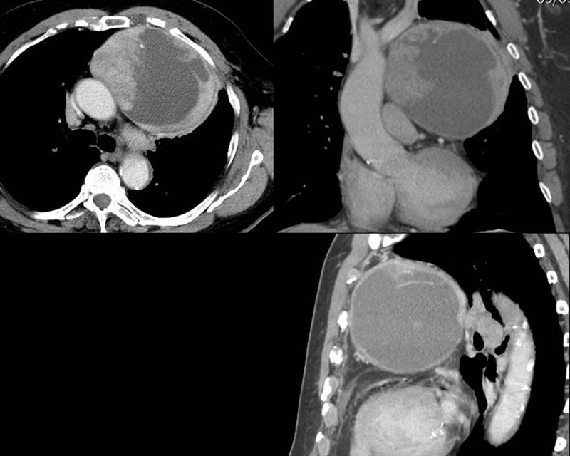
Case 9 Thymoma CT

Date: 04/04/2010
Size:
Full size: 960x768
nextlast
first previous
Case 9 Thymoma CT
nextlast
first previous
Powered by Gallery v2.3