Login
Register
Gallery
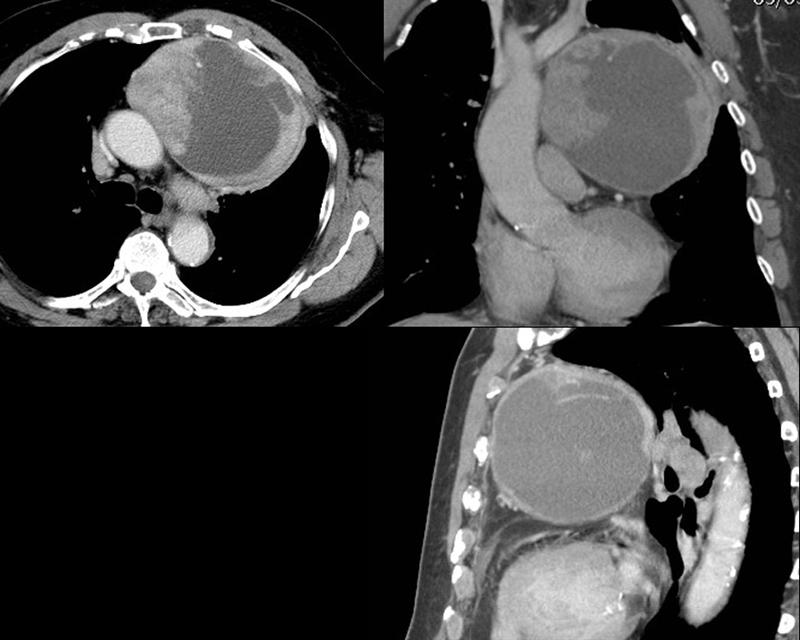
Mediastinum
Thymus
Case 9 Thymoma CT
Case 9 Thymoma CT
Date: 04/04/2010
Size:
800x640
960x768
Full size:
960x768
next
last
first
previous
next
last
first
previous