Login
Register
Gallery
Mediastinum
Thymus
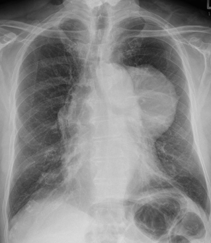
Case 9 Thymoma PA
Case 9 Thymoma PA
Date: 04/04/2010
Size:
697x800
1004x1152
Full size:
1004x1152
next
last
first
previous
next
last
first
previous