Login Register
Gallery Mediastinum Thyroid Thyroid Mass Case 3 PA

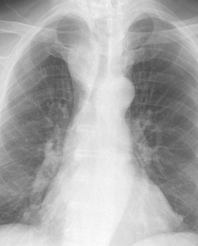
Thyroid Mass
Case 3 PA

Date: 03/17/2004
Size:
Full size: 678x841
nextlast
first previous
Thyroid Mass
Case 3 PA
nextlast
first previous
Powered by Gallery v2.3