Login Register
Gallery Mediastinum Thyroid Thyroid Mass Case 3 CT

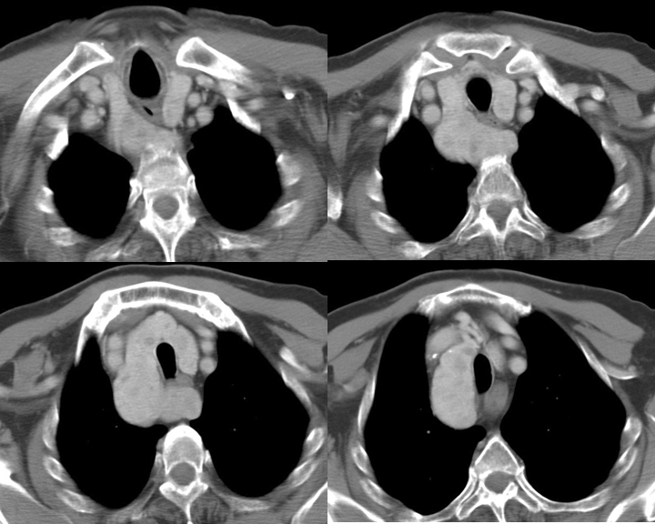
Thyroid Mass
Case 3 CT

Date: 03/17/2004
Full size: 720x576
nextlast
first previous
Thyroid Mass
Case 3 CT
nextlast
first previous
Powered by Gallery v2.3