Login Register
Gallery Mediastinum Thyroid Thyroid Mass Case 10 PA

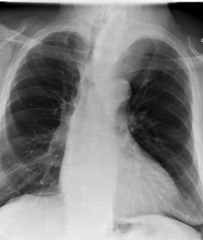
Thyroid Mass
Case 10 PA

Date: 03/17/2004
Full size: 670x793
nextlast
first previous
Thyroid Mass
Case 10 PA
nextlast
first previous
Powered by Gallery v2.3