Login Register
Gallery Mediastinum Thyroid Retrosternal goitre PA

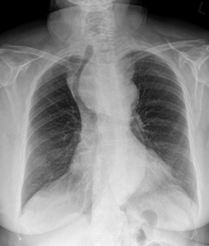
Retrosternal goitre PA

Date: 10/17/2010
Size:
Full size: 2394x2817
nextlast
first previous
Retrosternal goitre PA
nextlast
first previous
Powered by Gallery v2.3