Login Register
Gallery Mediastinum Thyroid Thyroid mass

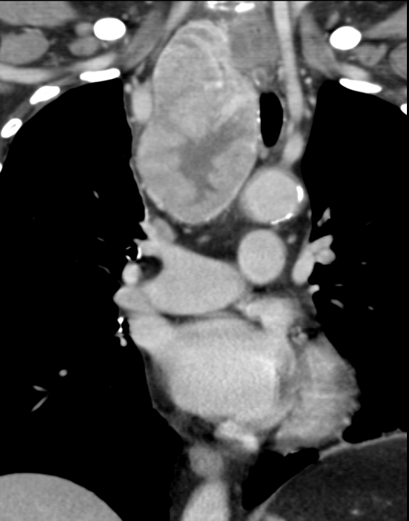
Thyroid mass

Date: 04/28/2014
Full size: 586x745
first previous
Thyroid mass
first previous
Powered by Gallery v2.3