Login Register
Gallery Normal and Variants

Normal and Variants

Date: 03/23/2004
Size: 61 items
nextlast
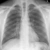
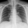
Normal PA

Normal PA

24 yo male

Date: 06/08/2016
Views: 6302
Normal  lateral

Normal lateral

24 yo male

Date: 06/08/2016
Views: 5221
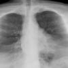
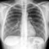
Normal PA Male

Normal PA Male

Date: 12/06/2014
Views: 6492
Normal lateral

Normal lateral

Date: 12/06/2014
Views: 5737
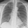
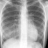
Normal PA Female

Normal PA Female

Date: 12/06/2014
Views: 5977
Normal neonate

Normal neonate

Date: 02/07/2010
Views: 5816
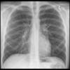
Nl PA & Lat

Nl PA & Lat

Date: 03/24/2004
Views: 5650
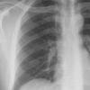
AP sup vs PA upright
Ex 1

AP sup vs PA upright
Ex 1

Date: 03/23/2004
Views: 6459
Nl PA & Lat

Nl PA & Lat

Date: 03/24/2004
Views: 5505
Nl PA & Lat

Nl PA & Lat

Date: 03/24/2004
Views: 5522
Nl PA & Lat

Nl PA & Lat

Date: 03/24/2004
Views: 5298
Lordotic

Lordotic

Date: 03/24/2004
Views: 5778
PA vs AP
Ex 1

PA vs AP
Ex 1

Date: 03/23/2004
Views: 4713
AP vs PA
Ex 1

AP vs PA
Ex 1

Date: 03/23/2004
Views: 5772
Insp & Exp
Ex 1

Insp & Exp
Ex 1

Date: 03/24/2004
Views: 5559
Insp & Exp
Ex 2

Insp & Exp
Ex 2

Date: 03/24/2004
Views: 5327
Prelordotic
Ex 2

Prelordotic
Ex 2

Date: 03/23/2004
Views: 4293
Lordotic
Ex 2

Lordotic
Ex 2

Date: 03/23/2004
Views: 4264
Prelordotic
Ex 3

Prelordotic
Ex 3

Date: 03/23/2004
Views: 5257
Lordotic
Ex 3

Lordotic
Ex 3

Date: 03/23/2004
Views: 5753
Pectus PA
Ex 1 (see lat)

Pectus PA
Ex 1 (see lat)

Date: 03/23/2004
Views: 5736
Pectus Lat
Ex 1

Pectus Lat
Ex 1

Date: 03/23/2004
Views: 4546
Aortic nipple

Aortic nipple

Date: 03/29/2014
Views: 5830
Aortic nipple
Ex 1 CT

Aortic nipple
Ex 1 CT

Date: 03/23/2004
Views: 5343
Azygous lobe
Ex 1

Azygous lobe
Ex 1

Date: 03/23/2004
Views: 4118
Azygous lobe
Ex 2

Azygous lobe
Ex 2

Date: 03/23/2004
Views: 4171
Azygous lobe
Ex 2 CT

Azygous lobe
Ex 2 CT

Date: 03/23/2004
Views: 4888
Subpleural fat

Subpleural fat

Date: 02/15/2014
Views: 4490
subpleural fat

subpleural fat

Date: 02/25/2013
Views: 5445
Hair

Hair

Date: 03/23/2004
Views: 4318
Hair c/u

Hair c/u

Date: 03/23/2004
Views: 4281
Mesocardia
Ex 1

Mesocardia
Ex 1

Date: 03/23/2004
Views: 4928
Mesocardia
Ex 2

Mesocardia
Ex 2

Date: 03/23/2004
Views: 5540
Nl breast CT

Nl breast CT

Date: 03/23/2004
Views: 3999
Nl Nuc Med

Nl Nuc Med

Date: 03/23/2004
Views: 4429
Lordotic combo
Ex 1

Lordotic combo
Ex 1

Date: 03/24/2004
Views: 5045
nextlast
Page: 1 2
Powered by Gallery v2.3