|
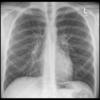
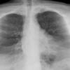
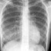
Normal PA
24 yo male
Date: 06/08/2016
Views: 6337
|
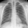
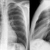
Normal lateral
24 yo male
Date: 06/08/2016
Views: 5255
|
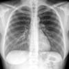
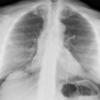
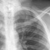
Normal PA Male
Date: 12/06/2014
Views: 6533
|
Normal lateral
Date: 12/06/2014
Views: 5777
|
|
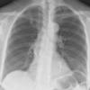
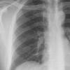
Normal PA Female
Date: 12/06/2014
Views: 6022
|
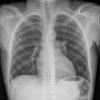
Normal neonate
Date: 02/07/2010
Views: 5850
|
Nl PA & Lat
Date: 03/24/2004
Views: 5698
|
AP sup vs PA upright
Ex 1
Date: 03/23/2004
Views: 6506
|
|
Nl PA & Lat
Date: 03/24/2004
Views: 5546
|
Nl PA & Lat
Date: 03/24/2004
Views: 5562
|
Nl PA & Lat
Date: 03/24/2004
Views: 5337
|
Lordotic
Date: 03/24/2004
Views: 5816
|
|
PA vs AP
Ex 1
Date: 03/23/2004
Views: 4748
|
AP vs PA
Ex 1
Date: 03/23/2004
Views: 5821
|
Insp & Exp
Ex 1
Date: 03/24/2004
Views: 5607
|
Insp & Exp
Ex 2
Date: 03/24/2004
Views: 5365
|
|
Prelordotic
Ex 2
Date: 03/23/2004
Views: 4320
|
Lordotic
Ex 2
Date: 03/23/2004
Views: 4290
|
Prelordotic
Ex 3
Date: 03/23/2004
Views: 5299
|
Lordotic
Ex 3
Date: 03/23/2004
Views: 5791
|
|
Pectus PA
Ex 1 (see lat)
Date: 03/23/2004
Views: 5781
|
Pectus Lat
Ex 1
Date: 03/23/2004
Views: 4577
|
Aortic nipple
Date: 03/29/2014
Views: 5877
|
Aortic nipple
Ex 1 CT
Date: 03/23/2004
Views: 5384
|
|
Azygous lobe
Ex 1
Date: 03/23/2004
Views: 4150
|
Azygous lobe
Ex 2
Date: 03/23/2004
Views: 4199
|
Azygous lobe
Ex 2 CT
Date: 03/23/2004
Views: 4918
|
Subpleural fat
Date: 02/15/2014
Views: 4523
|
|
subpleural fat
Date: 02/25/2013
Views: 5475
|
Hair
Date: 03/23/2004
Views: 4356
|
Hair c/u
Date: 03/23/2004
Views: 4313
|
Mesocardia
Ex 1
Date: 03/23/2004
Views: 4964
|
|
Mesocardia
Ex 2
Date: 03/23/2004
Views: 5571
|
Nl breast CT
Date: 03/23/2004
Views: 4027
|
Nl Nuc Med
Date: 03/23/2004
Views: 4461
|
Lordotic combo
Ex 1
Date: 03/24/2004
Views: 5080
|