Login Register
Gallery Normal and Variants

Normal and Variants

Date: 03/23/2004
Size: 61 items
first previous
Lordotic combo

Lordotic combo

Date: 03/24/2004
Views: 3649
Tomogram
AP midline

Tomogram
AP midline

Date: 03/23/2004
Views: 2920
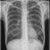
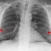
Ao nipple Chest

Ao nipple Chest

Date: 12/31/2004
Views: 2730
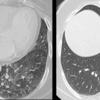
Ao nipple CT

Ao nipple CT

Date: 02/26/2006
Views: 2805
Ao nipple coronal

Ao nipple coronal

Date: 03/03/2013
Views: 2646
Normal VQ

Normal VQ

Date: 07/23/2006
Views: 3318
normal bronchus

normal bronchus

Date: 07/23/2006
Views: 3503
subpleural fat

subpleural fat

Date: 01/13/2008
Views: 3429
subpleural fat

subpleural fat

Date: 01/13/2008
Views: 2964
Accessory fissure
superior

Accessory fissure
superior

Date: 01/14/2008
Views: 2998
inf access fissure

inf access fissure

Date: 02/25/2013
Views: 3510
skin folds muptiple

skin folds muptiple

Date: 10/22/2010
Views: 3747
nipple shadows

nipple shadows

Date: 03/03/2013
Views: 3741
CT supine and prone

CT supine and prone

Date: 07/27/2013
Views: 3078
low volume and normal

low volume and normal

Date: 07/27/2013
Views: 3281
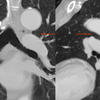
LUL ant seg art and bronchus

LUL ant seg art and bronchus

Date: 11/22/2014
Views: 2687
vessesls MR

vessesls MR

Date: 01/12/2015
Views: 3100
normal vessels

normal vessels

Date: 01/12/2015
Views: 3268
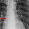
PICC good position

PICC good position

Date: 01/12/2015
Views: 2997
AP window

AP window

Date: 01/12/2015
Views: 2960
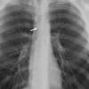
Aortic nipple

Aortic nipple

Date: 01/12/2015
Views: 3043
AO nipple coronal

AO nipple coronal

Date: 01/12/2015
Views: 2485
Ao nipple axial

Ao nipple axial

Date: 01/12/2015
Views: 2501
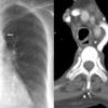
Aortic nipple PA and CT

Aortic nipple PA and CT

Aortic nipple

Date: 01/06/2018
Views: 3040
ant junction line

ant junction line

anterior junction line

Date: 01/06/2018
Views: 3473
     
first previous
Page: 1 2
Powered by Gallery v2.3