Login
Register
Gallery
Normal and Variants
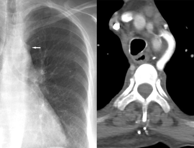
Aortic nipple PA and CT
Aortic nipple PA and CT
Aortic nipple
Date: 01/06/2018
Size:
800x613
968x742
Full size:
968x742
next
last
first
previous
next
last
first
previous