Login Register
Gallery Normal and Variants Aortic nipple

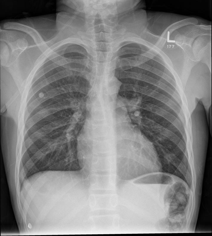
Aortic nipple

Date: 03/29/2014
Size:
Full size: 2514x2797
nextlast
first previous
Aortic nipple
nextlast
first previous
Powered by Gallery v2.3