Login
Register
Gallery
Normal and Variants
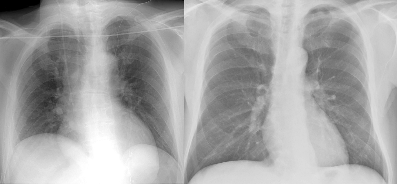
AP sup vs PA upright Ex 1
AP sup vs PA upright
Ex 1
Date: 03/23/2004
Size:
800x371
1370x636
Full size:
1370x636
next
last
first
previous
next
last
first
previous