Login Register
Gallery Normal and Variants AP sup vs PA upright Ex 1

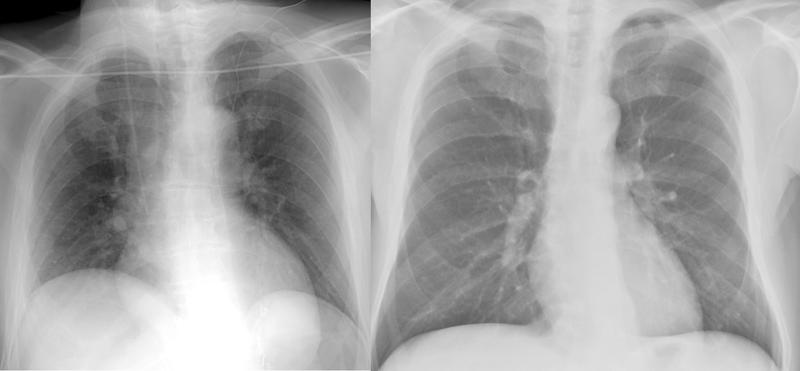
AP sup vs PA upright
Ex 1

Date: 03/23/2004
Size:
Full size: 1370x636
nextlast
first previous
AP sup vs PA upright
Ex 1
nextlast
first previous
Powered by Gallery v2.3