Login
Register
Gallery
Normal and Variants
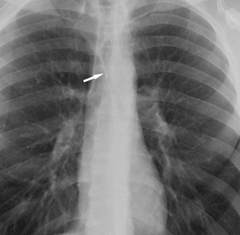
ant junction line
ant junction line
anterior junction line
Date: 01/06/2018
Size:
800x782
920x899
Full size:
920x899
first
previous
first
previous