Login Register
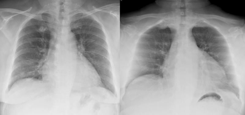
Gallery Normal and Variants Lordotic

Lordotic

Date: 03/24/2004
Size:
Full size: 1224x576
nextlast
first previous
Lordotic
nextlast
first previous
Powered by Gallery v2.3