Login Register
Gallery Normal and Variants Normal lateral

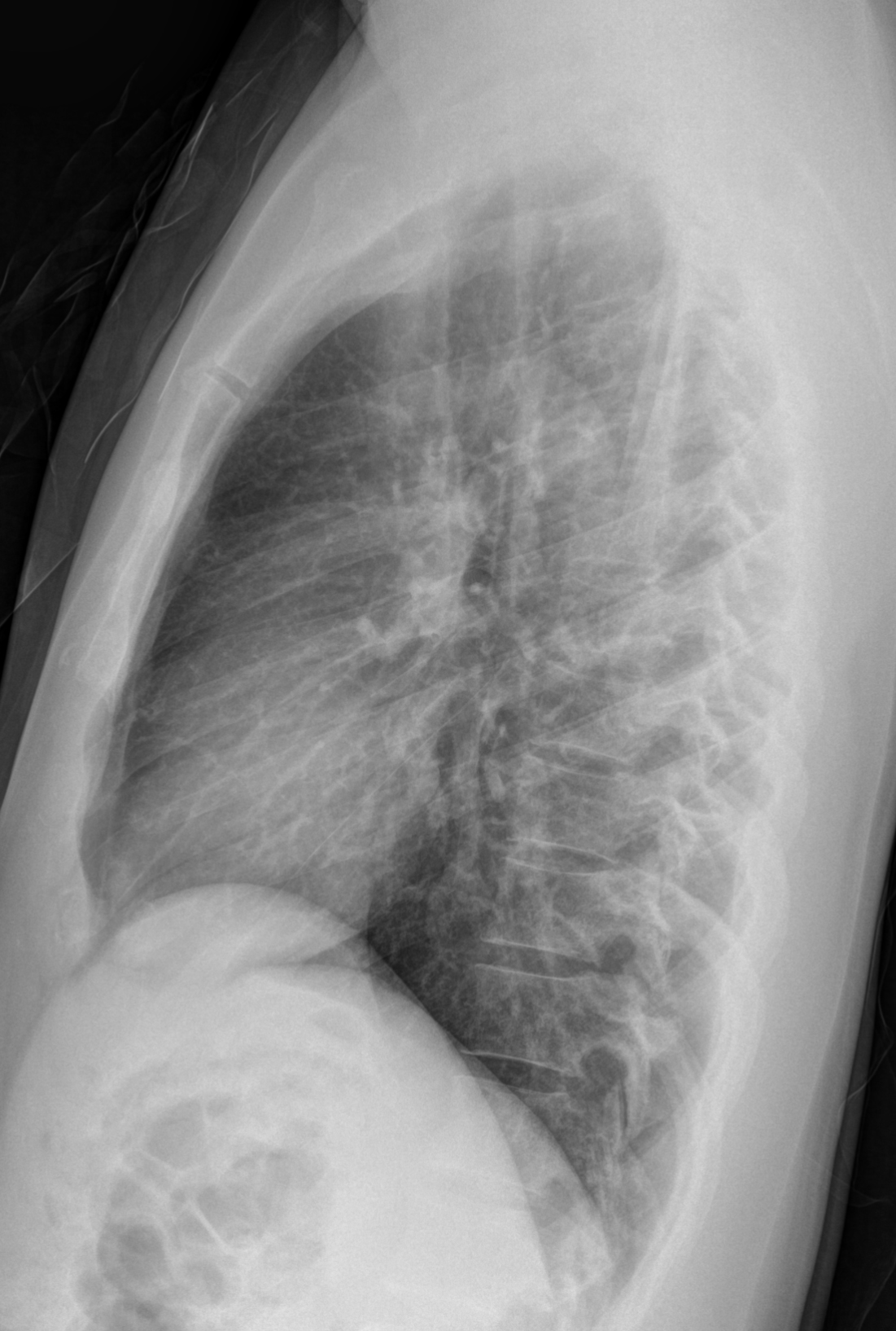
Normal lateral

24 yo male

Date: 06/08/2016
Size:
Full size: 1101x1634
nextlast
first previous
Normal  lateral
nextlast
first previous
Powered by Gallery v2.3