Login Register
Gallery Pleural

Pleural

Date: 09/24/2006
Size: 59 items
nextlast
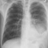
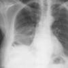
small effusion

small effusion

Date: 07/23/2006
Views: 6707
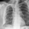
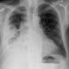
huge effusion PA

huge effusion PA

Date: 09/24/2006
Views: 5143
huge effusion CT

huge effusion CT

Date: 09/24/2006
Views: 4714
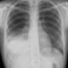
loc'd fluid PA

loc'd fluid PA

Date: 07/04/2004
Views: 5891
Loc'd fluid Lat

Loc'd fluid Lat

Date: 07/04/2004
Views: 4982
fluid in major fissure (pseudotumour)

fluid in major fissure (pseudotumour)

Date: 01/12/2009
Views: 8382
decubitus a

decubitus a

Date: 01/03/2005
Views: 4942
decubitus b

decubitus b

Date: 01/03/2005
Views: 5891
Subpulmonic effusion

Subpulmonic effusion

Date: 07/29/2013
Views: 6627
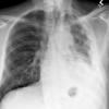
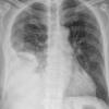
malig eff PA

malig eff PA

Date: 09/24/2006
Views: 5558
malig eff CT

malig eff CT

Date: 09/24/2006
Views: 5782
malignant effusion (pleural mets)

malignant effusion (pleural mets)

Date: 03/03/2013
Views: 4544
Malignant effusion

Malignant effusion

Date: 04/04/2010
Views: 5537
empyema 1a

empyema 1a

Date: 01/03/2005
Views: 6073
empyema 1b

empyema 1b

Date: 01/03/2005
Views: 5715
empyema 1c

empyema 1c

Date: 01/03/2005
Views: 5927
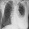
empyema 2 PA

empyema 2 PA

Date: 07/24/2006
Views: 6876
empyema 2 Lat

empyema 2 Lat

Date: 07/24/2006
Views: 6690
empyema 2 CT

empyema 2 CT

Date: 07/24/2006
Views: 6688
Empyema

Empyema

Date: 04/04/2010
Views: 6360
Empyema CT

Empyema CT

Date: 04/04/2010
Views: 5918
empyema split pleura

empyema split pleura

Date: 07/23/2006
Views: 4167
calcified emp PA

calcified emp PA

Date: 09/24/2006
Views: 5221
calcified emp CT

calcified emp CT

Date: 09/24/2006
Views: 4260
mesothelioma PA

mesothelioma PA

Date: 07/07/2004
Views: 6093
mesothelioma CT

mesothelioma CT

Date: 07/07/2004
Views: 5572
mesothelioma 2a

mesothelioma 2a

Date: 01/03/2005
Views: 5545
mesothelioma 2b

mesothelioma 2b

Date: 01/03/2005
Views: 5600
mesothelioma 3a
+plaques

mesothelioma 3a
+plaques

Date: 01/13/2008
Views: 6394
mesothelioma 3B
+ plaques CT

mesothelioma 3B
+ plaques CT

Date: 01/13/2008
Views: 6332
mesothelioma 4

mesothelioma 4

Date: 01/14/2008
Views: 7652
Mesothelioma 4 CT

Mesothelioma 4 CT

Date: 01/14/2008
Views: 7044
Mesothelioma

Mesothelioma

Date: 11/06/2013
Views: 5377
old TB PA

old TB PA

Date: 09/24/2006
Views: 5707
old TB CT

old TB CT

Date: 09/24/2006
Views: 4386
renal mets

renal mets

Date: 07/27/2006
Views: 4519
nextlast
Page: 1 2
Powered by Gallery v2.3