Login Register
Gallery Pleural

Pleural

Date: 09/24/2006
Size: 59 items
first previous
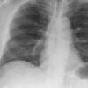
renal mets

renal mets

Date: 11/19/2005
Views: 3487
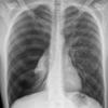
tube and track

tube and track

Date: 01/13/2008
Views: 3684
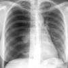
subpleural fat

subpleural fat

Date: 01/13/2008
Views: 4235
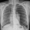
subpleural fat

subpleural fat

Date: 01/13/2008
Views: 4117
chest tube in fissure

chest tube in fissure

Date: 03/27/2009
Views: 4152
Complete pneumo
(+ mild tension)

Complete pneumo
(+ mild tension)

Date: 03/28/2009
Views: 4018
Pneumo insp/exp
(similar - mild tension)

Pneumo insp/exp
(similar - mild tension)

Date: 01/06/2012
Views: 3739
Pneumo - mild tension

Pneumo - mild tension

Date: 07/27/2013
Views: 3169
Complete pneumo-slight tension

Complete pneumo-slight tension

Date: 03/02/2014
Views: 3785
spont tension pneumothorax-

spont tension pneumothorax-

Date: 11/18/2014
Views: 2902
large spont hydro (or hemo)pneumo

large spont hydro (or hemo)pneumo

Date: 03/03/2013
Views: 3720
Asbestos- calcified plaques

Asbestos- calcified plaques

Date: 10/23/2010
Views: 4781
Asbestos calcified plaques CT

Asbestos calcified plaques CT

Date: 10/23/2010
Views: 4239
pleural lipoma

pleural lipoma

Date: 01/06/2012
Views: 4024
pleural lipoma CT

pleural lipoma CT

Date: 01/06/2012
Views: 4413
subpleural chest wall fat

subpleural chest wall fat

Date: 08/15/2012
Views: 3739
fissures

fissures

Date: 03/03/2013
Views: 3327
skin fold

skin fold

Date: 04/01/2014
Views: 3394
pleural lipoma

pleural lipoma

Date: 04/01/2014
Views: 3388
pleural lipoma axial CT

pleural lipoma axial CT

Date: 04/01/2014
Views: 3054
subpleural fat

subpleural fat

Date: 01/12/2015
Views: 3145
split pleura 2

split pleura 2

"split pleura"

Date: 01/06/2018
Views: 3001
subpleural - fat

subpleural - fat

subpleural fat

Date: 01/06/2018
Views: 4195
 
first previous
Page: 1 2
Powered by Gallery v2.3