Login Register
Gallery Pleural

Pleural

Date: 09/24/2006
Size: 59 items
first previous
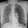
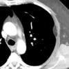
renal mets

renal mets

Date: 11/19/2005
Views: 3683
tube and track

tube and track

Date: 01/13/2008
Views: 3889
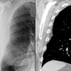
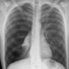
subpleural fat

subpleural fat

Date: 01/13/2008
Views: 4430
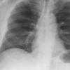
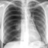
subpleural fat

subpleural fat

Date: 01/13/2008
Views: 4313
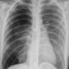
chest tube in fissure

chest tube in fissure

Date: 03/27/2009
Views: 4335
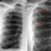
Complete pneumo
(+ mild tension)

Complete pneumo
(+ mild tension)

Date: 03/28/2009
Views: 4216
Pneumo insp/exp
(similar - mild tension)

Pneumo insp/exp
(similar - mild tension)

Date: 01/06/2012
Views: 3932
Pneumo - mild tension

Pneumo - mild tension

Date: 07/27/2013
Views: 3326
Complete pneumo-slight tension

Complete pneumo-slight tension

Date: 03/02/2014
Views: 3946
spont tension pneumothorax-

spont tension pneumothorax-

Date: 11/18/2014
Views: 3051
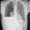
large spont hydro (or hemo)pneumo

large spont hydro (or hemo)pneumo

Date: 03/03/2013
Views: 3899
Asbestos- calcified plaques

Asbestos- calcified plaques

Date: 10/23/2010
Views: 4974
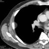
Asbestos calcified plaques CT

Asbestos calcified plaques CT

Date: 10/23/2010
Views: 4431
pleural lipoma

pleural lipoma

Date: 01/06/2012
Views: 4230
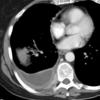
pleural lipoma CT

pleural lipoma CT

Date: 01/06/2012
Views: 4598
subpleural chest wall fat

subpleural chest wall fat

Date: 08/15/2012
Views: 3930
fissures

fissures

Date: 03/03/2013
Views: 3504
skin fold

skin fold

Date: 04/01/2014
Views: 3586
pleural lipoma

pleural lipoma

Date: 04/01/2014
Views: 3579
pleural lipoma axial CT

pleural lipoma axial CT

Date: 04/01/2014
Views: 3222
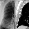
subpleural fat

subpleural fat

Date: 01/12/2015
Views: 3329
split pleura 2

split pleura 2

"split pleura"

Date: 01/06/2018
Views: 3213
subpleural - fat

subpleural - fat

subpleural fat

Date: 01/06/2018
Views: 4313
 
first previous
Page: 1 2
Powered by Gallery v2.3