|
small effusion
Date: 07/23/2006
Views: 6655
|
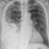
huge effusion PA
Date: 09/24/2006
Views: 5091
|
huge effusion CT
Date: 09/24/2006
Views: 4662
|
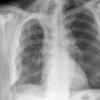
loc'd fluid PA
Date: 07/04/2004
Views: 5838
|
|
Loc'd fluid Lat
Date: 07/04/2004
Views: 4930
|
fluid in major fissure (pseudotumour)
Date: 01/12/2009
Views: 8378
|
decubitus a
Date: 01/03/2005
Views: 4941
|
decubitus b
Date: 01/03/2005
Views: 5887
|
|
Subpulmonic effusion
Date: 07/29/2013
Views: 6626
|
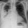
malig eff PA
Date: 09/24/2006
Views: 5508
|
malig eff CT
Date: 09/24/2006
Views: 5730
|
malignant effusion (pleural mets)
Date: 03/03/2013
Views: 4541
|
|
Malignant effusion
Date: 04/04/2010
Views: 5535
|
empyema 1a
Date: 01/03/2005
Views: 6021
|
empyema 1b
Date: 01/03/2005
Views: 5663
|
empyema 1c
Date: 01/03/2005
Views: 5874
|
|
empyema 2 PA
Date: 07/24/2006
Views: 6823
|
empyema 2 Lat
Date: 07/24/2006
Views: 6638
|
empyema 2 CT
Date: 07/24/2006
Views: 6634
|
Empyema
Date: 04/04/2010
Views: 6359
|
|
Empyema CT
Date: 04/04/2010
Views: 5867
|
empyema split pleura
Date: 07/23/2006
Views: 4164
|
calcified emp PA
Date: 09/24/2006
Views: 5220
|
calcified emp CT
Date: 09/24/2006
Views: 4257
|
|
mesothelioma PA
Date: 07/07/2004
Views: 6040
|
mesothelioma CT
Date: 07/07/2004
Views: 5518
|
mesothelioma 2a
Date: 01/03/2005
Views: 5492
|
mesothelioma 2b
Date: 01/03/2005
Views: 5545
|
|
mesothelioma 3a
+plaques
Date: 01/13/2008
Views: 6392
|
mesothelioma 3B
+ plaques CT
Date: 01/13/2008
Views: 6330
|
mesothelioma 4
Date: 01/14/2008
Views: 7599
|
Mesothelioma 4 CT
Date: 01/14/2008
Views: 7039
|
|
Mesothelioma
Date: 11/06/2013
Views: 5373
|
old TB PA
Date: 09/24/2006
Views: 5654
|
old TB CT
Date: 09/24/2006
Views: 4334
|
renal mets
Date: 07/27/2006
Views: 4467
|