Login
Register
Gallery
Pleural
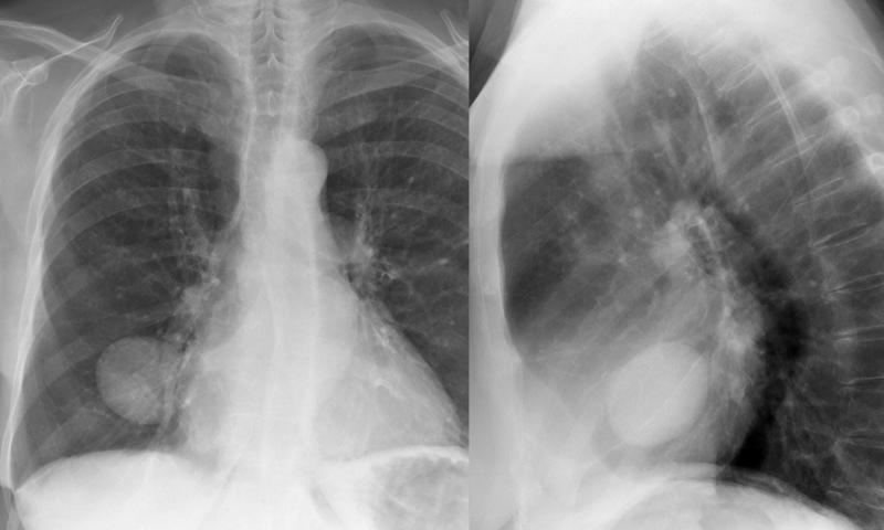
fluid in major fissure (pseudotumour)
fluid in major fissure (pseudotumour)
Date: 01/12/2009
Size:
800x480
1440x864
Full size:
1440x864
next
last
first
previous
next
last
first
previous